unglaubliche Pilzvielfalt Ende 2023 / Anfang 2024

#1
in Vorarlberg war es vor den Feiertagen und noch bis vorgestern außerordentlich mild und durch die vielen Niederschläge vom November bis kurz vor Weihnachten die Bedingungen für das Pilzwachstum bestens. Sämtliche Funde die ich kurz vorstelle waren alle direkt "vor meiner Haustüre" oder in naher Umgebung.

17. Dezember ca. 50 Arten, Bedingungen im Schatten frostig, an der Sonne tagsüber warm. Auf der Sonnenseite Boletus edulis, Neoboletus praestigiator, Cantharellus cibarius und andere Pilze gefunden, die eigentlich für den Sommer und Herbst typisch sind.

Boletus edulis - in der Nacht gefroren und am Tag wieder aufgetaut
Boletus edulis (2).JPG


Cortinarius elegantior - eine größere Gruppe frischer Exemplare
Cortinarius elegantior (6).JPG

Eishaar - kleine Kunstwerke
Eishaar (12).JPG
Eishaar (8).JPG

Flammulina velutipes s. str. tief gefroren
Flammulina velutipes (3).JPG

31. Dezember über 70 Arten auf dem Ardetzenberg bei Feldkirch - neben Arten, die üblicherweise um diese Zeit nicht mehr erscheinen gab es auch Seltenheiten

Russula rubra - kleines ganz frisches Exemplar, um diese Zeit nicht mehr üblich
Russula rubra (4).JPG

Ebenso nicht üblich um diese Zeit frische Marasmius wynneae, Laccaria amethystina, Psathyrella spadiceogrisea, Ramaria stricta usw.

Membranomyces delectabilis, morscher Pinus-Ast, laut Kartierungen in der Datenbank selten, für Vorarlberg ein Erstfund
Membranomyces delectabilis (2).JPG
Membranomyces delectabilis 1000 (1).JPG
Dateianhänge
Membranomyces delectabilis (2).JPG

Re: unglaubliche Pilzvielfalt Ende 2023 / Anfang 2024

#2
weshalb beim soeben verschickten Beitrag das letzte Foto als Dateianhang nochmals dabei ist, weiß ich nicht genau, aber ist nicht so tragisch.

am 1. Jänner 2024 ging es dann bei einer Runde in einem kleinen Mischwald neben einer Straße gleich weiter. Neben vielen um diese Zeit bei feuchtem Wetter üblichen Arten gab es noch Phaeotremella foliacea auf Quercus, Mycena vitilis im Buchenlaub, Bisporella subpallida an Corylus und nachstehende zwei seltene Funde.

Gloeocystidiellum luridum an Corylus
Gloeocystidiellum luridum (27).JPG
Gloeocystidiellum luridum Melzers.JPG

Resupinatus europaeus an Picea abies zusammen mit Phanerochaete velutina und Peniophora pithya. Ich habe beim Resupinatus trotz intensiver Suche keine Metuloide gefunden, sonst wäre auch noch Hohenbuehelia unguicularis in Frage gekommen - makroskopisch kaum zu unterscheiden.
Resupinatus europaeus (5).JPG
Resupinatus europaeus (4).JPG

schöne Funde am 4. Jänner am Wegrand eines Forstweges in Frastanz auf der Schattenseite (Frost gab es auch nachts schon länger keinen mehr)

Mucronella bresadolae an sehr altem Gloeophyllum odoratum
Mucronella bresadolae (2).JPG

Sclerencoelia fraxinicola an liegendem Fraxinus-Stamm
Sclerencoelia fraxinicola (1).JPG

Terana caerulea an mehreren Holzstücken von Fraxinus und vermutlich Fagus
Terana caerulea (3).JPG

Trametes versicolor und Polyporus brumalis existieren hier ganz friedlich nebeneinander
Trametes versicolor u. Polyporus brumalis (4).JPG
Trametes versicolor u. Polyporus brumalis (3).JPG

Re: unglaubliche Pilzvielfalt Ende 2023 / Anfang 2024

#3
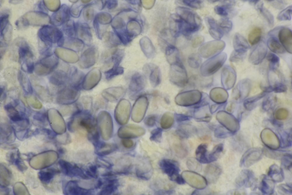
zuletzt habe ich noch einen Weißsporer, der mir Rätsel aufgibt. Ich dachte an Fayodia oder Mycena. Auch sonst habe ich noch einiges an Literatur durchforstet. Der Pilz war an einem Laubholzstück. Vielleicht kann mir da jemand helfen.

Arbeitsname Mycena
Mycena_Arbeitsname (6).JPG
Mycena_Arbeitsname (4).JPG
Mycena_Arbeitsname (2).JPG


hyaline Sporen (5.8) 6.1 - 7 (7.6) × (3.7) 4 - 4.6 (4.7) µm mit großem Tropfen, amyloid, Basidien 2- und 4-sporig
Mycena Arbeitsname (31).JPG
Mycena Arbeitsname (28).JPG
Mycena Arbeitsname (7).JPG
Mycena Arbeitsname (5).JPG
Mycena Arbeitsname (4).JPG

typische Winterpilze wie diverse Rindenpilze, Trameten, Schichtpilze etc. könnte ich in mehreren Seiten sehr farben- und formenreich zeigen. Die findet ihr sicherlich auch selber. Ich denke die Klimaerwärmung ist einfach auch im Reich der Pilze spürbar!

liebe Grüße und viel spannende Funde 2024
Uschi

Re: unglaubliche Pilzvielfalt Ende 2023 / Anfang 2024

#4
Liebe Uschi,
passt wirklich zur Klimaerwärmung, auch hier im Osten war es sehr feucht und im Dezember viel zu warm, daher ebenfalls viele Pilzfunde. Mehr als im Sommer heuer. schöne Funde bei euch! Die einzelne Mycena könnte eine Mycena polygramma sein. Die Sporenmaße sind an der Untergrenze, die sind aber auch schwer zu messen, weil die Wand so unscheinbar ist im Gegensatz zum Tropfen in den Sporen drin. Man kann ganz fein die Rillen am Stiel erkennen und die Zystiden passen.
LG
Irmgard

Re: unglaubliche Pilzvielfalt Ende 2023 / Anfang 2024

#5
danke für den Tipp zur Mycen. Das mit den Sporen merke ich mir. Tatsächlich habe ich tw. fast nur den Tropfen und keine Sporenwand gesehen!

mich haben einfach auch die großen Gegensätze zwischen schattigen Stellen und Sonnenhang derart fasziniert - Eishaar und Steinpilz zur gleichen Zeit vielleicht gut 100 m Luftlinie getrennt.

liebe Grüße
Uschi