Entoloma indutoides var. pleurocystidiatum

#1
Innerschildgraben, Niederösterreich (Neunkirchen)
20.09.2025
leg.: Koller Gerhard, Kaiser Fabian
Abies, Picea, Larix, Pinus
In einer Wiese am Waldrand

Auffällig war für uns sofort der intensive Schwefelwasserstoff Geruch (Faules Ei)

Vorschläge für die Bestimmung kamen von: Sabino Arauzo & Chiel Nordeloos
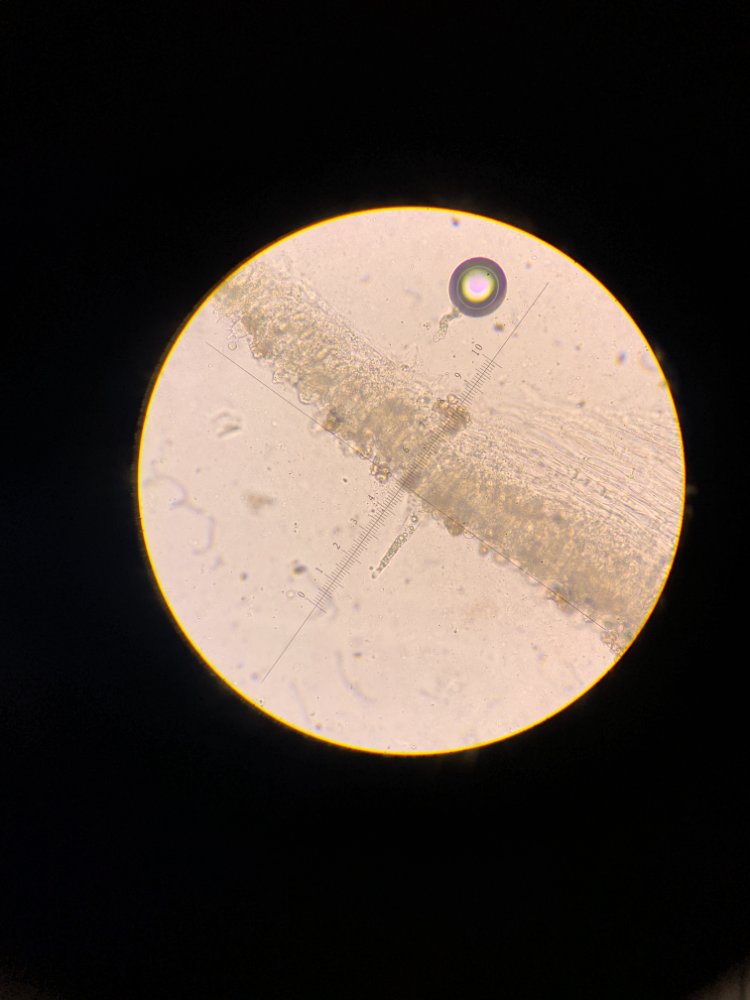
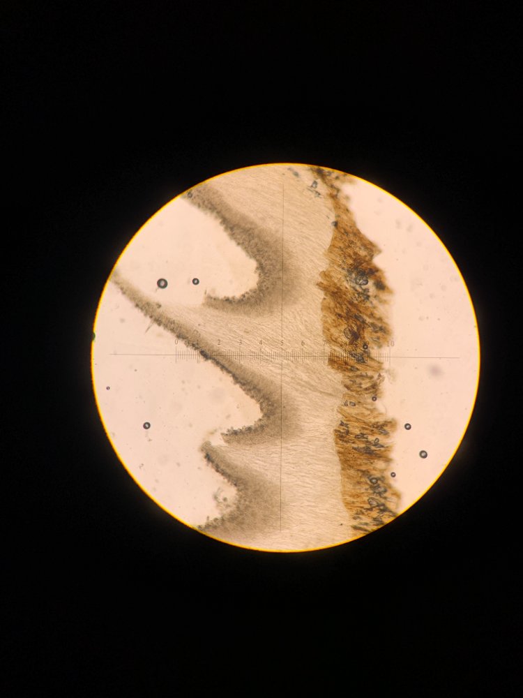
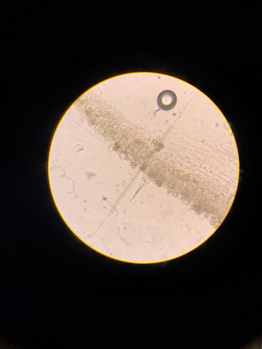
Nordeloos meinte weiters: " ... it is in the indutoides clade with these large, lageniform cystidia on edge and sides. There are a few species in this group, some of them new, soon to be published by us."

Der Pilz wird bei der ÖMG herbarisiert und sequenziert.

Hier eine Beschreibung von Entoloma indutoides in der Ost. Zeitschr. f. Pilzk. 4 (1995)
https://www.zobodat.at/pdf/OestZPilz_4_ ... D_y46igyiQ

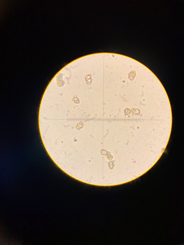
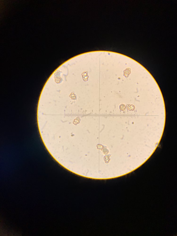
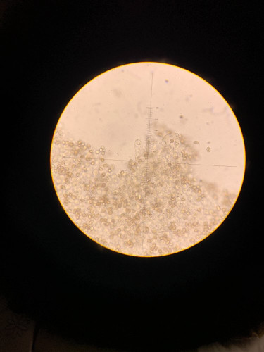
Sporenmaße:
(10.4) 11.6 - 13.2 (13.8) × (7.6) 7.8 - 9.2 (9.9) µm
Q = (1.3) 1.33 - 1.5 (1.6) ; N = 20
Me = 12.3 × 8.6 µm ; Qe = 1.4
11.72 8.42
12.68 8.54
11.71 7.91
11.57 8.48
12.33 9.23
13.23 8.56
12.34 8.84
12.61 7.84
13.14 8.89
11.18 7.80
12.11 8.49
11.72 7.92
11.75 9.33
13.12 8.70
12.70 8.81
11.98 8.71
13.78 8.47
12.77 9.91
13.38 9.14
10.40 7.61
Dateianhänge
Entoloma indutoides var. pleurocystidiatum.jpeg
Entoloma indutoides var. pleurocystidiatum (2).jpeg
Entoloma indutoides var. pleurocystidiatum (3).jpeg
Entoloma indutoides var. pleurocystidiatum (4).jpeg
Entoloma indutoides var. pleurocystidiatum (5).jpeg