Botryobasidium - nicht, sondern Thanatephorus brevisporus

#1
Liebe Alle, lieber Gernot,
ein weiterer Fund vom Tag der Artenvielfalt, vermutlich ein Botryobasidium auf Buche.
Leider hab ich nur eine Spore gefunden und die war sehr schnell, so konnte ich sie nicht fotografieren. Ich bin den Schlüssel von Bernicchia durchgegangen und bei Botryobasidium robustius gelandet. Kann das stimmen?
Bei Bedarf messe ich gerne noch was nach, die Konidien, falls ich die richtigen gemessen habe, messen z.B. 6 x 6 und 9 x 7.

Hier kommen mal die Mikrofotos, die Makrofotos folgen, die sind noch auf der Kamera.

LG
Romana
E56A47FF-5A16-4CDD-A025-E2A136452E3A.jpeg
B8EC6E29-56C8-490A-B189-00438A64CDA5.jpeg
02C12EF3-62B0-412C-843F-03E99DDED454.jpeg
3AEB9C27-27CC-42F7-B157-1716F80F9F1F.jpeg
CFBB903F-625A-49A1-8D18-565175DEDC91.jpeg
7A869A4E-4571-4CD0-BE77-BD3BABB09265.jpeg
D5FA39D9-6528-4C3E-A551-7252FDE53446.jpeg
3F4E2C07-4C15-4F51-A448-522B765AC446.jpeg

Re: Botryobasidium

#3
Liebe Romana,

das ist eine Rhizoctonia = ein Thanatephorus. Es sind einige Sporen auf deinen Mikrofotos zu sehen, teilweise mit repetitivem Wachstum.
Die Basidien scheinen hauptsächlich zweisporig zu sein. Zusammen mit den breit ellipsoiden bis ± kugeligen Sporen gefällt mir das ganz gut für T. brevisporus, wobei diese Art häufiger mal Sporen mit einem apikalen Auswuchs hat, welchen ich auf den Fotos nicht sicher erkennen kann. Das könntest du vielleicht noch überprüfen. Alternativ käme noch die hauptsächlich viersporige R. ochracea in Betracht (= T. ochraceus). Sporenform und Sterigmenzahl sind bei diesen Arten jedoch grundsätzlich ziemlich variabel, weshalb man sich wirklich einige Sporen und Basidien anschauen muss.

Siehe auch hier: http://www.czechmycology.org/_cm/CM532.pdf (T. brevisporus) und https://www.aphyllo.net/spec.php?id=201700 bzw. https://www.zobodat.at/pdf/Sydowia_50_0252-0256.pdf (R. ochracaea).

Schöne Grüße
Gernot

Re: Botryobasidium

#4
Lieber Gernot,
da lag ich ja grundsätzlich daneben… ups… Diesen Namen hab ich noch nie gehört und ich finde auch nicht viel darüber - selten oder oft übersehen? Wirklich auffällig ist der Pilz ja nicht, aber doch sehr hübsch, wenn man genauer hinschaut.
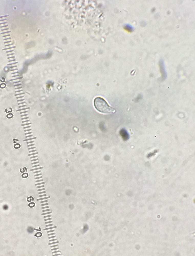
Diese großen kugeligen Sporen mit Auswuchs waren am häufigsten zu sehen. Die Basidien sind meist zweisporig, manche dreisporig. Dein Vorschlag sollte also passen - vielen Dank für die Bestimmungshilfe!

Ich füge noch ein paar Fotos der Sporen ein.

LG
Romana
0CEA45AC-13C8-41D9-BAC1-965FCF32EA43.jpeg
F695171A-EF69-4252-A3FF-C0CBD6027A29.jpeg
ABBEA0F2-B818-4C04-8922-5285CDF843E5.jpeg
1B65ABA8-8BA0-4408-8B38-DE8D74600F81.jpeg
cron