Tomentella spec und evtl. Orbilia spec.

#1
Liebe Grüße von der Tiroler Seite der Zugspitze.

Zwei winzige Funde aus der Nähe der Ehrwalder Almbahn. Beide Arten profitieren von der Feuchtigkeit der 1) Quelle und 2) des Gaisbachs. Beide waren in Wegböschungen.

Werner Edelmann gab mir den Hinweis, dass dieser wahrscheinlich zu der Gattung Tomentella gehört. Hier ein paar Mikros. Die Studien von Frank Dämmrich habe ich gefunden, bin jedoch noch nicht drauf eingegangen.
Tomentella spec 1.jpg
Tomentella spec 2.jpg
Tomentella mikro 1.jpg
Tomentella mikro 3.jpg
Tomentella mikro 5.jpg
Falls jemand einen Hinweis zur Bestimmung hat, gern. Sonst, zeiterlaubend, versuche ich es mit Franks Studien. Schon eine Herausforderung für ein "Sporensucher". Keine Reaktion mit Lugol.

Edit: Vielleicht T. fuscocinerea? https://svampe.databasen.org/taxon/20938

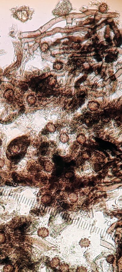
Dann diese winzige Kügelchen mit Loch - wie Donuts. Die Sporen sitzen im Ascus und dann nochmal in einer Hülle. Die geplatzten Hüllen sind gut zu sehen. Ich gehe nicht gerade zart mit den Quetschpräparaten um. Ich vermute eine Orbilie-Art. Sporengröße ohne Hülle 18-22 µm. Keine Reaktion mit Lugol.
Weiß wer was? (Mikrobilder folgen)
Orbilia spec 1.jpg
Orbilia spec 2.jpg
Orbilia spec 3.jpg
Zuletzt geändert von Rebecca S am 22.08.2021, 13:20, insgesamt 4-mal geändert.

Re: Tomentella spec und evtl. Orbilia spec.

#3
Liebe Rebecca,

ich fürchte, dass man beim tomentelloiden Pilz nicht um genaues Mikroskopieren und ebensolches Schlüsseln herumkommen wird. Mit Frank Dämmrichs Website (tomentella.de) bist du jedenfalls schon an der richtigen Adresse.

Beim zweiten Pilz würde ich Stephensia bzw. Hydnocystis bombycina vorschlagen (vgl. z. B. hier: https://www.nahuby.sk/obrazok_detail.ph ... _id=588562). Schöner Fund!

Edit: Noch besser passt Stephensia colomboi (nach Hinweis auf A. Polhorský auf ascofrance.com).

Zu deinen noch offenen Ascomyceten melde ich mich heute noch.

Schöne Grüße
Gernot
cron